石灰沈着性腱板炎とは?
肩の腱板(けんばん)にリン酸カルシウム(石灰)が沈着し、炎症を起こす病気です。
突然の激しい肩の痛みで発症することが多く、夜に眠れないほどの痛みが出ることもあります。
特に40〜60代の女性に多く見られ、明確な原因は不明ですが、
加齢や血流の低下、ホルモンの影響などが関係していると考えられています。
主な症状
- 肩の突然の激痛(夜間に悪化しやすい)
- 肩を動かせないほどの痛み(急性期)
- 慢性期には、動かしたときの鈍い痛み
- 肩の可動域制限(腕が上がらない・回せない)
💡痛風発作のように突然強い痛みが出るのが特徴です。
石灰沈着性腱板炎の原因
正確な原因は不明ですが、次のような要因が関係しているといわれています。
- 肩の血流低下(石灰が溜まりやすくなる)
- 加齢による腱の変化
- ホルモンバランスの影響(女性に多い)
- 肩の使いすぎ(スポーツ・家事・重労働など)
診断方法
痛みの強さや症状から疑われることが多く、
画像検査で石灰の位置や大きさを確認します。
1️⃣ X線検査(レントゲン)
石灰が白く映り、サイズや位置を確認できます。
2️⃣ エコー(超音波)検査
炎症の程度・石灰の形をリアルタイムで観察できます。
石灰沈着性腱板炎の種類
🔹 急性型
- 石灰が破れ、関節内に漏れ出して強い炎症を起こす
- 夜も眠れないほどの痛み(夜間痛)が出る
- 肩が腫れて熱をもつ
🔹 慢性型
- 痛みは軽いが、長期間続く
- 肩の動きが悪くなり、四十肩・五十肩と間違われることも
治療方法(症状の強さに応じて)
🔸 軽症・慢性型の場合(違和感・鈍い痛み)
保存療法(手術なし)を中心に行います。
💊 薬物療法
- 消炎鎮痛薬(NSAIDs)や湿布
- 温熱療法(血流を改善し石灰吸収を促す)
💉 注射療法
- ヒアルロン酸注射で関節の動きをスムーズに
- エコーガイド下ハイドロリリースで癒着や神経圧迫を解除
- 簡易動注治療でもやもや血管を減らして痛みをやわらげる
🏋️♀️ リハビリ
- 肩甲骨や肩関節の動きを保つストレッチ
- 痛みが落ち着いてから可動域訓練を開始
🔸 強い痛みがある場合(急性期)
💉 ステロイド注射
石灰部分にステロイド注射して炎症を速やかに抑える即効性のある治療です。
💧 エコーガイド下石灰吸引(穿刺)
エコーで位置を確認しながら注射針で石灰を吸い出します。
痛みの原因である石灰を取り除くことで、症状が劇的に改善することもあります。
💥 体外衝撃波治療(ESWT)
石灰を細かく砕き、自然吸収を促す治療。
保存療法で改善しない場合に選択されます。
🔸 改善しない・再発を繰り返す場合
関節鏡視下手術で石灰を除去します。
腱板損傷がある場合は、同時に修復術を行うこともあります。
当院での治療の特徴
津市の中村整形外科皮フ科では、
症状に応じて最新の注射治療・再生医療・リハビリを組み合わせて治療します。
- MRI・エコー完備で正確な診断
- エコーガイド下ステロイド注射、石灰吸引
- 長引く肩の痛みには簡易動注治療
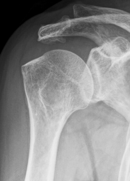
症例(60歳代女性)
2日前から右肩が急に痛み出し、夜も眠れない状態で来院。
レントゲンで石灰を確認し、エコーガイド下で吸引とステロイド注射を実施。直後から痛みは消失。
10日後、石灰は消失しました。

初診時のレントゲン:石灰が確認できます

10日後に石灰は完全に消失しています
まとめ
- 肩に石灰がたまって炎症を起こす病気
- 40〜60代の女性に多い
- 急性型は激痛、慢性型は肩こりのような痛み
- 注射・吸引・リハビリで改善が期待できる
- 放置せず、早めの受診が大切です
📍 津市 中村整形外科皮フ科
MRI・エコー完備/理学療法士常駐
エコーガイド下注射・ハイドロリリース・簡易動注治療・バイオセラピー対応
👉 肩の診療予約はこちら
関連記事

執筆者中村 公一
院長 / 整形外科専門医
親切・思いやりの心を大切にし、整形外科の専門知識を活かして地域の皆様の健康を支えたいと考えております。お気軽にご相談ください。
- 経歴
- 津高等学校 卒業 / 富山大学薬学部 卒業 / 富山大学医学部 卒業 / 三重大学大学院医学系研究科 修了 / 三重大学附属病院 /名張市立病院 / 松阪市民病院 / 函館共愛会病院 / おおすが整形外科 / 元八事整形外科・形成外科 / ひのとり整形在宅クリニック など
- 保有資格
- 医学博士 / 日本整形外科学会認定 整形外科専門医 / 日本整形外科学会認定 リウマチ医 / 日本整形外科学会認定 スポーツ医 / 日本整形外科学会認定 リハビリテーション医 / 日本整形外科学会認定 脊椎脊髄病医 / 日本関節病学会 Coolief 疼痛管理用高周波システム講習プログラム 修了 / 日本医師会認定 産業医 / 身体障害者福祉法指定医 / 難病指定医
- 所属学会
- 日本整形外科学会 / 日本関節病学会

