膝の内側が急に痛い…それ「骨の中の小さな骨折(骨の傷み)」かもしれません
「ある日突然、膝の内側がズキッと痛くなった」
「ヒアルロン酸注射をしても、なかなか痛みが引かない」
そんなとき、膝の軟骨の下の骨に“傷み”(骨の中の小さな骨折のような状態)が起きていることがあります。
このタイプの痛みは、初期にはレントゲンで分かりにくいことがあり、原因を見逃すと、短期間で膝の変形が進むこともあります。
だからこそ、早めにMRIで確認し、早めに治療を始めることが大切です。
こんな症状があれば注意してください
次のようなケースは、膝の内側の骨の傷みを疑います。
- 膝の内側が急に痛くなった(はっきりしたケガがなくても)
- 立ち上がり、歩き始め、階段で痛い
- 体重をかけると痛い(荷重痛)
- しばらく続いて、生活に支障が出ている
- 注射や薬、リハビリをしても改善が乏しい
ヒアルロン酸注射をしても痛みが取れないことがある理由
ヒアルロン酸注射は、関節の動きを助けたり、痛みを和らげたりする目的で行われます。
ただし、今回のテーマのように骨そのものが傷んでいる場合、注射だけでは痛みが取り切れないことがあります。
大事なのは、
- 原因が骨にあるのか
- どの程度の傷みなのか
を確認して、治療を組み立てることです。
放置すると「急に変形が進む」ことがあります
膝の内側の骨の傷みを放っておくと、骨が弱くなった部分がつぶれて段差になり、
短期間で膝の変形が進むことがあります。
すべての方がそうなるわけではありませんが、
「痛いのに無理して歩き続ける」ことで悪化してしまう例もあるため、早めの対応が重要です。
初期はレントゲンで分かりにくい。MRIが必要です
この病気のやっかいな点は、初期のレントゲンで異常が見えにくいことがある点です。
レントゲンで「異常なし」と言われても、痛みの出方が典型的なら、MRIで確認する価値が高いケースがあります。
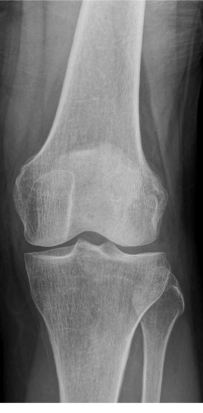
初診レントゲン(X線)

初期では、痛みが強くてもレントゲンで明らかな異常が写らないことがあります。
MRIで何が分かるの?
MRIでは、レントゲンでは分かりにくい
「骨の中の傷み(むくみのように見える変化)」を確認できます。
「痛みの原因がここにある」という判断がしやすくなり、治療方針が立てやすくなります。
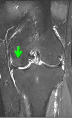
【初診時MRI画像】

膝の内側に“骨の傷み(骨の損傷・炎症を起こしている部分)”が確認できます。

骨壊死を起こしている部分が確認できます
治療の柱は「体重を減らす(免荷)」です
早い時期に一番大事なのが、膝にかかる体重を減らすことです。
骨が傷んでいる状態で無理に歩き続けると、治りにくくなったり、悪化したりすることがあります。
状態に応じて、次を組み合わせます。
- 杖を使う(痛い側と反対の手で)
- 体重のかけ方を調整する(部分的に体重を減らす/場合によりしっかり休ませる)
- サポーターや装具で負担を減らす
- 痛み止めの調整
- 痛みが落ち着いたら、再発予防の運動・歩き方指導
4か月後フォローMRI(改善例)
治療(体重を減らす、装具・杖の使用など)で、
MRIの変化が軽くなり、痛みが改善する例があります。
※回復のスピードや程度には個人差があります。

治療後。骨の炎症は改善しています。

治療後、壊死部の圧壊は免れました。壊死巣は傷として残りましたが、痛みはありません。
さらに骨壊死について詳しいことが知りたい方はこちら
受診の目安
次に当てはまる場合は、早めに整形外科で相談し、MRIを検討してください。
- 膝の内側が急に痛くなった
- レントゲンで「異常なし」でも、痛みが強い/続く
- ヒアルロン酸注射やリハビリをしても改善が乏しい
- 歩くのがつらく、生活に支障がある
ご予約・受診の流れ
- お電話:059-269-5515(自動音声通話④番を押してください)
※予約時または受付で「膝の内側が急に痛い」「注射でも改善しない」「MRI希望」など、気になる点をお伝えください。
まとめ(ここだけ覚えてください)
- 膝の内側が急に痛い+なかなか治らないときは「骨の傷み」が隠れていることがあります
- 初期はレントゲンで分かりにくいため、MRIが大切
- 体重を減らす(免荷)ことが治療の柱
- 早期に見つけて治療すると、改善が期待できる例があります(個人差あり)
(※補足:医療用語)
※この「膝の内側の骨の傷み」は、医学的には「大腿骨内顆骨壊死」などと呼ばれることがあります。

執筆者中村 公一
院長 / 整形外科専門医
親切・思いやりの心を大切にし、整形外科の専門知識を活かして地域の皆様の健康を支えたいと考えております。お気軽にご相談ください。
- 経歴
- 津高等学校 卒業 / 富山大学薬学部 卒業 / 富山大学医学部 卒業 / 三重大学大学院医学系研究科 修了 / 三重大学附属病院 /名張市立病院 / 松阪市民病院 / 函館共愛会病院 / おおすが整形外科 / 元八事整形外科・形成外科 / ひのとり整形在宅クリニック など
- 保有資格
- 医学博士 / 日本整形外科学会認定 整形外科専門医 / 日本整形外科学会認定 リウマチ医 / 日本整形外科学会認定 スポーツ医 / 日本整形外科学会認定 リハビリテーション医 / 日本整形外科学会認定 脊椎脊髄病医 / 日本関節病学会 Coolief 疼痛管理用高周波システム講習プログラム 修了 / 日本医師会認定 産業医 / 身体障害者福祉法指定医 / 難病指定医
- 所属学会
- 日本整形外科学会 / 日本関節病学会

